Científicos descubren nuevo «órgano» del cuerpo humano: El interstitium
Este se encuentra en la red de tejidos que rodea el cuerpo
En una reciente publicación de la revista Nature ha sorprendido a todos ya que echaría por la borda todas las lecciones de anatomía ya que sus autores de la Escuela de Medicina de la Universidad de Nueva York, aseguran que descubrieron un nuevo órgano del cuerpo humano que nunca había sido identificado.
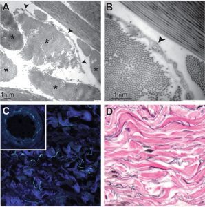
Este se llama interstitium, una red de tejidos interconectados rellenos de fluido que se encontraría «bajo la piel, dentro del tracto digestivo, los pulmones y los sistemas urinarios, alrededor de las venas y las arterias y entre los músculos», afirmaron los profesionales.
Esta nueva característica desconocida de la anatomía humana tendría como función «absorber el impacto y prevenir que los tejidos se rompan mientras los músculos, órganos y vasos bombean, se aprietan y pulsan como parte de sus funciones diarias».
El hallazgo contendría alrededor del 36% de los fluidos del cuerpo humano, y sería considerado uno de los órganos más grandes.
Según los especialistas, esta «autopista de fluidos» explicaría el desarrollo y avance de diversos tipos de cáncer, siendo el responsable de «crear y mantener juntos los manojos de colágeno que soportan el cuerpo».
Pero por qué no fue encontrado antes? , la explicación se debería a que para examinar el tejido se debía cortar, drenando así los fluidos que lo contenían haciendo que sus estructuras colapsen y no se puedan identificar.
Pese a que sus autores hablan de un nuevo órgano, algunos académicos discrepan señalando que sería como «descubrir los vasos sanguíneos por primera vez» en el sentido que se encuentra en todos los órganos, pero no es un órgano de por sí.
Sigue a RadioActiva.cl en Google Discover
Recibe nuestros contenidos directamente en tu feed.
