Implantes de seno salvaron a una mujer que recibió un balazo
En Canadá recientemente se dio a conocer un extraño caso que sucedió hace dos años. Resulta que doctores de ese país contaron que una mujer recibió
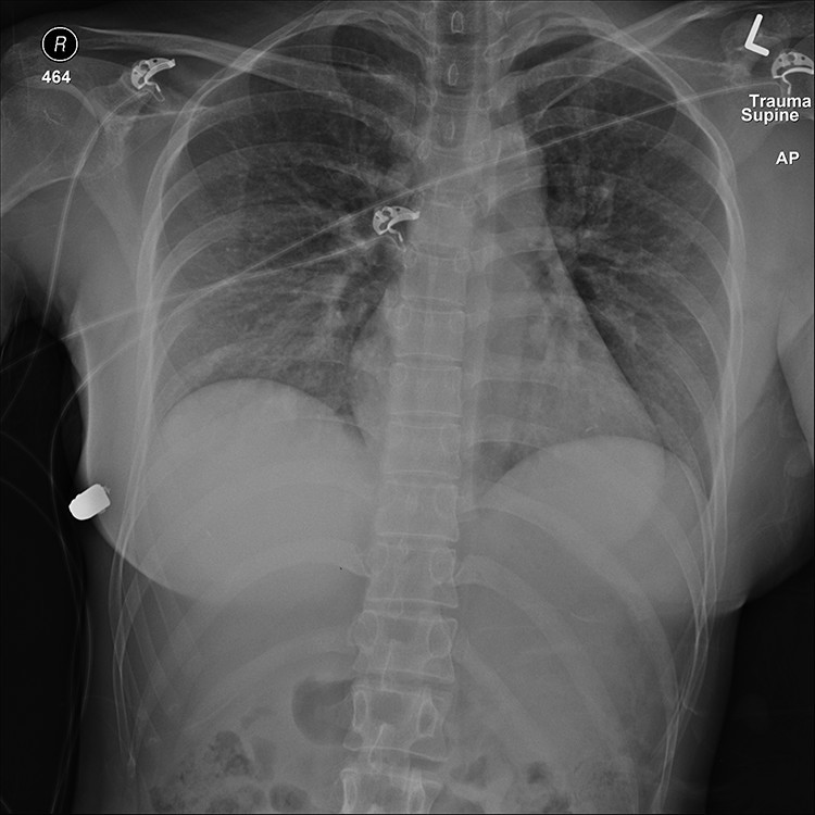
En Canadá recientemente se dio a conocer un extraño caso que sucedió hace dos años. Resulta que doctores de ese país contaron que una mujer recibió un disparo en su zona torácica y se salvó gracias a que sus implantes de silicona detuvieron la bala, la cual perforó parte del tejido pulmonar, pero no el corazón.
Este llamativo caso fue abordado en la revista Plastic Surgery Case Studies, donde se indicó que la afectada fue una mujer de 41 años, que recibió el impacto de bala mientras caminaba por una calle de la ciudad antes mencionada.
Al recibirlo ella dijo que sintió “calor y dolor en el pecho izquierdo”, por lo que miró hacia abajo y vio consternada que estaba sangrando.
Luego de eso fue trasladada hasta un hospital de la ciudad antes mencionada, donde se descubrió que tenía una bala incrustada en la parte superior de su seno izquierdo, la cual perforó parte de su pulmón y una costilla. Luego de analizar la herida, se determinó que le habían disparado a corta distancia.
Tras ser operada ella fue dada de alta, y los especialistas realizaron pruebas para resolver cómo fue que no murió tras el disparo.
Luego de las reconstrucciones del caso, los médicos establecieron que la bala había pasado por los dos implantes mamarios y únicamente generó daño en el tejido del pulmón.
En ese instante, y tras reconstruir la trayectoria del proyectil, el equipo determinó que la bala habría impactado en el corazón de la mujer de no haber sido por el implante del seno izquierdo
“Este implante cubre el corazón y la cavidad intratorácica y por lo tanto probablemente salvó la vida de la mujer”, indicaron desde el equipo de investigación, dirigido por el cirujano plástico Giancarlo McEvenue.
Según el médico, en la historia existen otros cuatro casos donde los implantes mamarios desviaron impactos de balas hacia zona más seguras del cuerpo, en las cuales finalmente se alojaron.
Junto con eso, el equipo recomendó a la mujer no colocarse nuevos implantes al menos en seis meses, debido al riesgo de infección, pero posteriormente ella desapareció, por lo que no se sabe si siguió esta orden o no.
Cabe señalar que, según reportan en la investigación, en Ontario aún no se ha determinado quién es el responsable del disparo que hirió a la mujer; tampoco se ha encontrado el arma que se usó en ese momento.
Sigue a RadioActiva.cl en Google Discover
Recibe nuestros contenidos directamente en tu feed.

